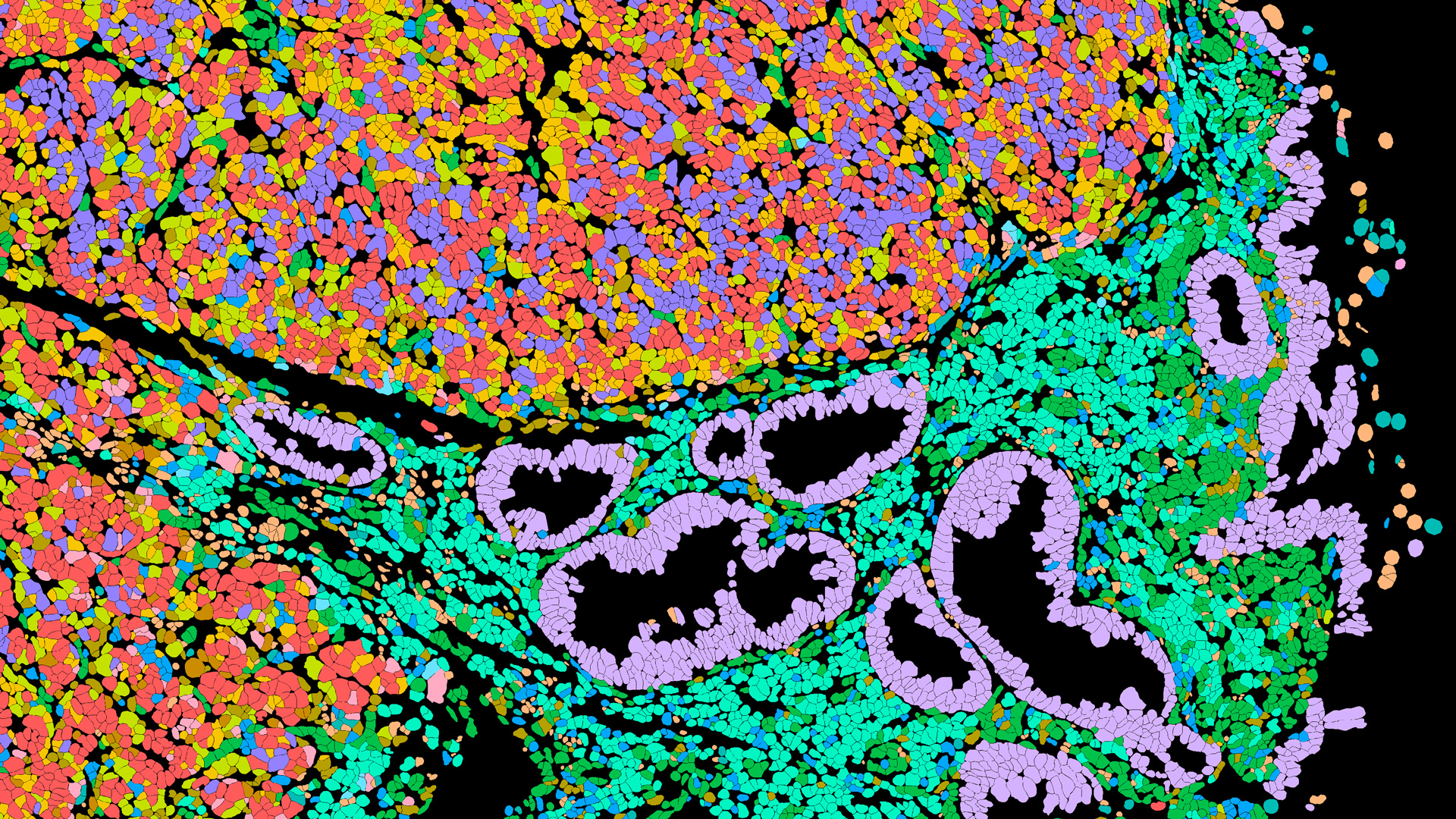
Since 2025, Explicyte has been a 10x Genomics Certified Service Provider across Xenium, Visium HD, and Chromium X platforms. Most of our single-cell and spatial transcriptomics projects using 10x Genomics platforms are performed on FFPE tumor tissues with Flex workflows. This combination allows to unlock the value of large retrospective tissue samples and connect molecular profiles with metadata such as pathological annotations, treatment history, and patient outcomes.
However, datasets generated with 10x Genomics platforms are complex. Single-cell and spatial transcriptomics data are dense, but they can also be noisy and difficult to interpret without dedicated bioinformatics expertise. When internal resources are limited, data analysis can become a bottleneck at the final stage of a study, delaying biological interpretation and decision-making.
In this short presentation, Jean-Philippe Guégan, Chief Technology Officer at Explicyte, explains how our data science team processes and interprets datasets generated with 10x Genomics platforms.
In a nutshell, at Explicyte, our data science services provide:
- Fast turnaround
Custom data analysis reports delivered within 4 weeks. - AI-supported workflows with human expertise
A team of 5 on-site data scientists delivers tailored reports combining robust computational pipelines with biological interpretation. - Strong expertise in FFPE-based oncology
Our team has extensive experience analyzing FFPE tumor samples across single-cell, spatial transcriptomics, and digital pathology workflows, as illustrated by our latest publications.
Beyond 10x Genomics datasets, our data science team can also analyze raw data from Bulk RNA-seq & GeoMx DSP and digitized pathology slides (IHC/IF).

