Explicyte provides quantitative oncology target expression profiling in human tissues, including tumor and normal tissues, using IHC/multiplex IHF, digital pathology, and AI-assisted image analysis.
Once an oncology target has been nominated—often from transcriptomics in a smaller FFPE set—in situ target expression profiling in larger, well-defined FFPE cohorts is essential to confirm that the signal translates into actionable, tissue-level evidence. Digital pathology target expression profiling studies helps you determine:
- Target prevalence at scale: what fraction of patients are target-positive within a tumor type and across relevant histologies or molecular subtypes?
- Protein localization and compartment specificity: is the target expressed on the cell membrane vs cytoplasm/nucleus, and is it restricted to tumor cells or also present in stromal/immune compartments?
- Spatial context within the tumor: does expression concentrate at the invasive margin vs the tumor core, and is it associated with specific microenvironmental niches?
- Normal tissue expression profiling (cross-tissue reactivity): is the target expressed in normal tissues, informing potential on-target/off-tumor risk?

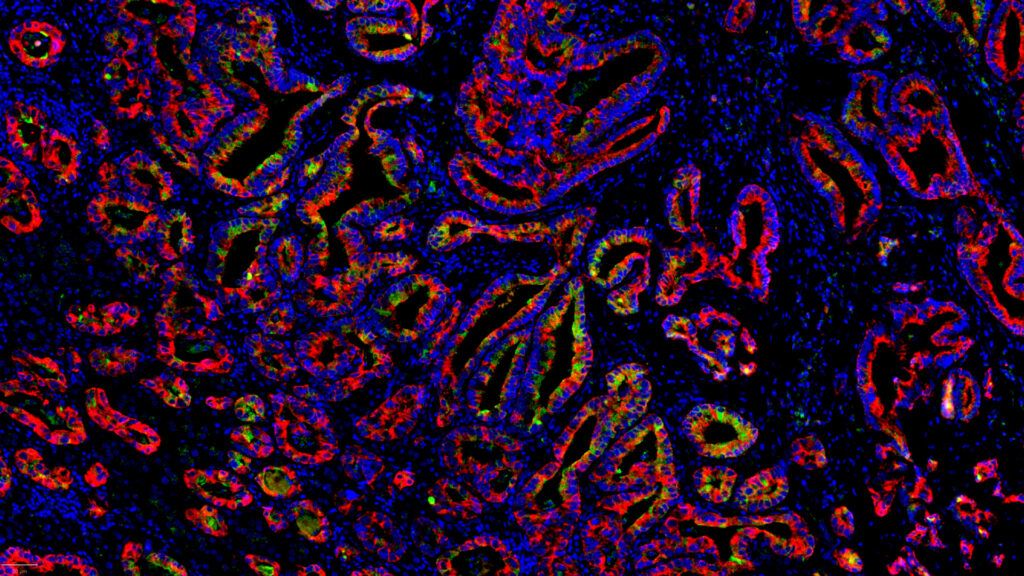
Immunofluorescence staining of oncology target CLDN18.2 (green) in human lung cancer sample (panCK in red)
Fit-for-purpose study design
Each project is scoped with a PhD-level Study Director to align the design with your objective and constraints:
- FFPE cohort design: sample numbers, inclusion criteria, controls, inclusion of normal tissues
- Panel strategy: leveraging 150+ validated IHC/IHF panels, we provide expert guidance on antibody selection and panel design
- Right-throughput format: TMA for cost-efficient screening or whole-slide profiling when heterogeneity and spatial context matter
- Early-derisking: assay validation and pilot study to confirm signal, localization, and dynamic range before scaling

We can source human tumor and normal FFPE specimens with associated metadata to support target expression studies
Sample QC & processing
To ensure traceability, consistency, and analyte preservation, each specimen follows a controlled QC and processing workflow before staining and analysis.
- Secure intake & traceability: unique sample IDs, chain-of-custody documentation, and metadata capture (indication, subtype, biomarker status, and pre-analytical variables when available).
- Pathology suitability review: confirmation of diagnosis and tumor content, assessment of necrosis/artefacts, and ROI definition for quantitative scoring.
- Standardized slide preparation: in-house sectioning with harmonized thickness and labeling, plus control placement to minimize batch effects.
- Controlled storage & handling: defined storage conditions and timelines for blocks and slides to preserve antigenicity and ensure reproducible staining.

High-throughput IHC/IHF staining & imaging
We rely on automated and high-throughput platforms to deliver fast, reproducible target expression studies at scale.
- Automated staining (2 Ventana platforms): standardized IHC and multiplex IHF workflows with controlled run conditions, built-in controls, and consistent batch-to-batch performance.
- High-capacity whole-slide imaging (2 PhenoImager systems): rapid, high-quality slide digitization to support both singleplex IHC and multiplex fluorescence readouts.
- ISO-compliant quality system: certified for tissue biomarker analysis, we apply run-level controls and imaging QC to confirm signal integrity before downstream quantification.
Custom image analysis & biostatistics
Our data science team turns whole-slide images into quantitative, decision-ready evidence—supported by robust statistics and clear reporting.
- AI-assisted quantitative pathology (with expert review): automated tissue and cell segmentation with compartment-aware scoring (tumor vs stroma/immune) and, when relevant, subcellular localization (membrane vs cytoplasmic/nuclear), with optional expert pathologist review to confirm patterns and refine ROIs/scoring rules.
- Integrated biostatistics: prevalence estimates, subgroup comparisons across histology/molecular subtypes, cutoff exploration, and association analyses with clinical metadata.
- Transparent deliverables: per-sample result tables, cohort-level summary figures, representative annotated images, and a methods/QC appendix for reproducibility and partner-ready sharing.


Learn more about our capacities in image analysis
The presence of TROP2 in the nucleus is associated with a poor response to immunotherapy in NSCLC cancer patients.
(A) Representative image field CD8/PanCK/PDL1/TROP2/DAPI multiplexed immunohistofluorescence panel on a lung adenocarcinoma section. (B) Illustration of TROP2 expression pattern in NSCLC patients. A clear membrane staining (top) can be distinguished from more diffuse staining (bottom), with nuclear localization. (C) Kaplan Meier curves of the progression-free survival of patients stratified as « High » vs « Low » nuclear TROP2 positive tumor.

Experts
in Immuno-Oncology
- A reliable workflow ISO-certified QMS for IHC/IF marker analysis combined with automated platforms
- Over 10 years of experience in TME profiling using digital pathology
- 30+ translational studies in FFPE tissues published in top-tier immuno-oncology journals
Personalized
approach
- Strategic advice to customize and derisk your experimental design
- A dedicated study director (PhD) keeping you in the loop through intermediary updates & reports
- Robust analysis combining AI-based image analysis, expert pathologist review & in depth statistics
Your contacts

Talk to our team !
Paul Marteau, PharmD (preclinical study director), Imane Nafia, PhD (CSO), Loïc Cerf, MSc (COO), Alban Bessede, PhD (founder, CEO), Jean-Philippe Guégan, PhD (CTO)
